Diseases of the farrowing house – piglets

 

Abscess umbical peritonitis

 

Anaemic piglets

Abscess – navel

Infections – streptococcal bacteria enter the naval during processing resulting in peritonitis

Actinobacilliosis

Actinobacillus suis results in abscessation.

Anaemia – iron deficiency

Generally seen at the end of lactation but may be recognized pre-weaning as shown by the pale hairy pig right.

Lame Arthritis 02sw

Con Atresa ani detail

Conjunctivitis a1

Arthritis – joint ill

Generally associated with a streptococcal spp. infecting the joint Teeth clipping may be the route

Atresia ani

Generally recognized in males in the farrowing house, who bloat and then die.

Atrophic rhinitis

Recognised in the farrowing house by sneezing

Aujeszkys piglet head

Legs Bush Foot

Legs carpal injury

Aujeszky’s disease

Results in weak piglets with conjunctivitis and tonsilar necrosis

Bush foot

Specific infection of the lower foot generally associated with streptococci spp.

Carpal injuries

May almost be considered normal – progression of wear at the carpus once they are in contact with the floor

Farr scour4

Clostridial enteritis haemorrhage 2

Clostridial enteritis gas detail

Clostridium dificile

May create diarrhoea, which may be unresponsive to treatment.  Note Cl.dificile is also normal

Clostridium perfringens

Type C and A.  Type C results in death in the first 3 days, postmortem reveals blood in small intestine (left); in chronic cases gas bubbles (right) may be seen in the wall of the intestine.  Type A may be more chronic occurring at 10 days post-partum.

Coccidiosis scour 2

Piglets asleep

Coccidiosis scour 3

Coccidiosis

Isospora suis causes diarrhoea and poor growth in day 7 plus piglets which is non-responsive to antibiotics.

Congenital tremor

Several forms, common form seen in awake piglets -- a fine tremor; piglets generally grow out of the problem if they can suckle.

Cryptosporidiosis

Uncommon – a parasite infection similar to coccidiosis.  Occurs in piglets older than 10 days.

Con Cleft palette

Con meningeocoele2

ConTibia missing xray

Congenital deformities  

Congenital deformities can be extremely variable and most are life threatening.  The photographs demonstrate a cleft palate, a meningeocoele and lack of tibia (X-ray photo).  Specific forms to note are discussed in other photographs

PRRS piglets

 

Diarrhoea farrowing

Ecoli piglet bowel loops

Escherichia coli problems

Present as toxaemia in the first three days – first photograph and as milky diarrhoea from 3 to 10 days (right pictures)– clinical signs and severity partially depend on the serotype of E. coli present.

Skin epetheliogenesis imperfecta

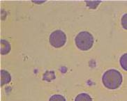
Eperythrozoonosis blood smear

Skin facial necrosis 2

Epitheliogenesis imperfecta

Congenital abnormality resulting in an area of whole skin being missing, generally heals without consequence.

Eperythrozoon suis

May be considered as a differential in anaemic piglets.  Parasite lives in red blood cells. 

Facial necrosis

Staphylococcus infection of the skin associated with fighting, generally over milk shortage

Glassers general

Greas pig3 sw

Farrow weakpiglets

Glasser’s disease

Relatively uncommon in the farrowing house, generally seen post-weaning.  Presents as a polyserosititis

Greasy pig disease

Generally not seen in the farrowing house, but if occurs examine for biting flies or other causes of wounds

Hypothermia

Very common – together with malnutrition – cause of crushing by the sow.

Hernia scrotal B

Con weak piglet

Mange mite microscope

Hernia – scrotal

Recognised prior to castration.  Other hernias, umbilical and acquired may also be seen.

Malnutrition

Together with hypothermia major cause of crushing

Mange mites

May be few clinical signs, but the piglet can act as a host to the mite and must be included in any eradication programme

Middle ear gross

Navel bleed 1

Virus particles 2

Middle ear infection

Generally seen after weaning.  May be associated with a head cold and sneezing

Navel bleeding

Short navel and very pale piglet.  Little blood at post-mortem

Porcine epidemic diarrhoea

Causes severe diarrhoea in piglets in Asia – very similar to TGE

PRRS-head 01 sw

Farrowing wet creep area kr

Leg splay leg kr

PRRSV

Produces very weak piglets that often get other conditions.  Note the domed head in this piglet infected at birth

Rotavirus diarrhoea

Generally a secondary problem, but can cause severe watery diarrhoea in piglets 3-7 days of age.

Splayleg

Common, failure of the piglet to stand properly after birth – environmental and genetic problem. May also be seen in front legs


 

Meningitis3

Mammary teat necrosis

Thrombocytopaenia

Streptococcal meningitis

If piglets are not treated promptly high mortality will ensure – associated with Streptococcus suis II.  Check environmental stressors and colostrum policies

Teat necrosis

The normal teat is enlarge in the first 3 days and abrasion with the floor results in necrosis

Thrombocytopaenia

Seen in piglets post-colostrum who may suddenly die with multiple hemorrhages throughout the carcase

TGE transmissible gastroenteritis piglets

 

Medicine  injpigleg B

TGE

Severe diarrhoea and death in piglets less than 10 days of age.  Protection through sow immunization through feedback

Vomiting and wasting disease

Another coronavirus similar to TGE.

Vit E deficiency and iron intoxication

Piglets die shortly after iron injection with a specific liver damage